Breaking news and analysis on politics, business, world national news, entertainment and more.
Get Creutzfeldt Jakob Disease Brain Mri Gif
10/06/2020 00:00
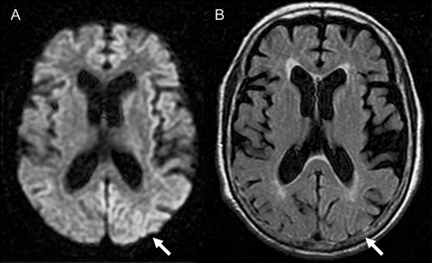
Get Creutzfeldt Jakob Disease Brain Mri Gif. It has severe effects on the brain. In the united states there are about 300 cases per year.
The Pulvinar Sign in Variant Creutzfeldt-Jakob Disease ... from jamanetwork.com
However, it is the most common of a family of diseases. Cjd is caused by a prion, a misfolded protein that can. Surgeons or physicians obtain spinal fluid.
Seen through a microscope, it makes the brain look like a sponge.
Seen through a microscope, it makes the brain look like a sponge. Initially, these symptoms, which typically become apparent during the fifth. Cjd usually appears in later life and runs a rapid course. Prion diseases are neurodegenerative diseases that have long incubation periods and progress inexorably to death once clinical symptoms appear.