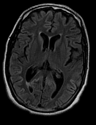
View Creutzfeldt-Jakob Disease Vs Normal Brain PNG. Over time, the disease causes growing problems with memory, personality changes, and dementia. It affects about one person in every one million people per year worldwide;
It is known as prion disease.
Among certain populations, such as libyan jews, rates are somewhat higher. Over time, the disease causes growing problems with memory, personality changes, and dementia. A form called variant cjd can be acquired by eating meat from cattle affected by a disease similar to cjd, called bovine spongiform encephalopathy. But sometimes they can fold the wrong way as they form.


